fbpx
Skip to main content

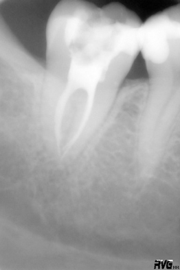
Endodontie / Endodontologie

Die Endodontie oder Endodontologie ist der Bereich der Zahnmedizin, der sich mit den Erkrankungen des Zahnmarkes bzw. Zahnnervs beschäftigt. Durch Karies oder Zahnfraktur infizierte oder bereits abgestorbene Zahnnerven müssen entfernt werden. Unter örtlicher Betäubung wird das Wurzelkanalsystem des Zahnes mechanisch und chemisch gereinigt. Die mechanische Aufbereitung erfolgt mit winzig kleinen Feilen als Handinstrumenten oder durch maschinelle Aufbereitung. Vor allem bei engen und stark gebogenen Wurzelkanälen hat sich moderne maschinelle Aufbereitungstechniken bewährt. In unserer Praxis arbeiten wir dabei mit den Feilen des VDW-Reciproc/ReciprocBlue-Systems, welche aus einer hoch flexiblen Titan-Legierung bestehen. Die chemische Reinigung und Desinfektion erfolgt mit Spüllösungen aus Natriumhypochlorid und EDTA mit Ultraschallaktivierung derselben. Abgefüllt wird das Kanalsystem mit einem thermoplastischen Füllverfahren mit warmer Guttapercha, welche mit einem hoch gewebsverträglichen Sealer im Kanal verklebt wird. Die Füllmethode ist medikamentenfrei, d.h. ohne dauermedikamentösen Zusatz!

Anzumerken ist, dass nur nach vollständiger Aufbereitung und gründlicher Desinfektion des Kanalsystems sowie dichter dreidimensionaler Füllung desselben ein langfristiger Behandlungserfolg möglich ist. Grundsätzlich muss jedoch klar sein, dass jede Wurzelbehandlung nur einen Behandlungsversuch darstellt, der jedoch in den allermeisten Fällen eine gute Prognose hat.

Der wurzelbehandelte Zahn ist in vielen Fällen nicht mehr einfach durch eine neue Füllung zu versorgen, sondern muss oft in der Folge überkront werden, um seinen langfristigen Erhalt zu sichern.

Wir benutzen Cookies

Wir nutzen Cookies auf unserer Website. Einige von ihnen sind essenziell für den Betrieb der Seite, während andere uns helfen, diese Website und die Nutzererfahrung zu verbessern (Tracking Cookies). Sie können selbst entscheiden, ob Sie die Cookies zulassen möchten. Bitte beachten Sie, dass bei einer Ablehnung womöglich nicht mehr alle Funktionalitäten der Seite zur Verfügung stehen.